Penil Doppler

Penil doppler nedir? Nasıl yapılır? Ne işe yarar?
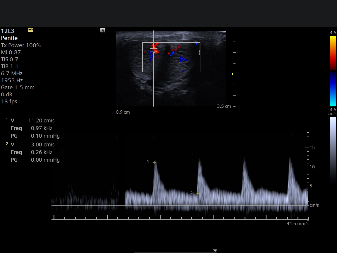
11.03.2026Penil Doppler Ultrasonografi Nedir?
Erektil disfonksiyon yani sertleşme sorunu, erkeklerde oldukça sık görülen ancak çoğu zaman konuşulmaktan çekinilen bir sağlık problemidir. Günümüzde bu sorunun nedenini anlamak için kullanılan en önemli yöntemlerden biri Penil Doppler Ultrasonografi incelemesidir.
Penil Doppler Nedir?
Penil Doppler ultrasonografi, penisteki damarların kan akımını değerlendiren özel bir ultrason incelemesidir.
Bu test sayesinde:
- Penise yeterli kan gelip gelmediği
- Damar tıkanıklığı olup olmadığı
- Venöz kaçak (kanı tutamama problemi)
- Sertleşme probleminin damar kaynaklı olup olmadığı değerlendirilebilir.
Erektil disfonksiyonun önemli bir kısmı damar hastalıklarına bağlıdır ve Penil Doppler bu durumun tanısında en güvenilir yöntemlerden biridir.
Penil Doppler Nasıl Yapılır?
Penil Doppler ultrason incelemesi oldukça kısa süren ve genellikle 20–30 dakika içinde tamamlanan bir işlemdir.
İşlem şu şekilde yapılır:
- Hasta muayene masasına sırtüstü yatırılır
- Penis bölgesi antiseptik ile temizlenir
- İnce bir iğne ile penise ereksiyon sağlayan ilaç uygulanabilir
- Ultrason cihazı ile penis damarları incelenir
- Kan akım hızları ölçülür
Bu ölçümler sayesinde penisteki arteriyel akım ve venöz sistem detaylı şekilde değerlendirilir.
Penil Doppler Hangi Durumlarda Yapılır?
Penil Doppler incelemesi özellikle şu durumlarda önerilir:
- Sertleşme sorunu yaşayan erkeklerde
- Diyabet hastalarında gelişen ereksiyon problemlerinde
- Damar hastalığı şüphesi olan kişilerde
- Penis travması sonrası
- Peyronie hastalığı (peniste eğrilik) değerlendirmesinde
- Cerrahi tedavi planlanmadan önce
Bu inceleme, hastaya uygulanacak tedavinin planlanmasında önemli bilgiler sağlar.
Penil Doppler Ağrılı Bir İşlem midir?
Penil Doppler sırasında kullanılan iğne oldukça incedir ve işlem genellikle hafif bir rahatsızlık hissi dışında ciddi bir ağrı oluşturmaz.
Çoğu hasta işlemi rahat şekilde tolere eder.
Nadiren görülebilen durumlar şunlardır:
- enjeksiyon yerinde hafif morarma
- geçici hassasiyet
- nadiren uzamış ereksiyon (priapizm)
Bu durumlar genellikle kontrol altına alınabilir.
Penil Doppler Sonuçları Ne Gösterir?
Penil Doppler incelemesi sonrasında genellikle üç farklı sonuç ortaya çıkabilir:
1️⃣ Normal damar yapısı
Penise gelen kan akımı normaldir.
2️⃣ Arteriyel yetmezlik
Penise gelen kan miktarı yetersizdir.
3️⃣ Venöz kaçak
Penis içine gelen kan yeterlidir ancak damar sistemi kanı tutamaz.
Bu sonuçlar tedavi planlamasında oldukça önemlidir.
Penil Doppler Nerede Yapılır?
Penil Doppler incelemesi Doppler ultrason konusunda deneyimli bir radyoloji uzmanı tarafından yapılmalıdır.
Özel Mersin Bilrad Radyoloji Merkezi'nde penil doppler incelemeleri:
- yüksek çözünürlüklü ultrason cihazları ile
- hasta mahremiyetine önem verilerek
- detaylı değerlendirme ve raporlama ile gerçekleştirilmektedir.
Sertleşme Sorunu Tedavi Edilebilir Bir Durumdur
Erektil disfonksiyon birçok erkek için stres yaratan bir durum olabilir. Ancak günümüzde doğru tanı yöntemleri sayesinde sorunun nedeni belirlenebilmekte ve uygun tedavi planlanabilmektedir.
Penil Doppler ultrasonografi, bu değerlendirmede en önemli tanı araçlarından biridir.
Merkezimizde penil Doppler incelemeleri nitelikli ve detaylı raporlamalar ile hızlı ve uygun fiyatlı sunulmaktadır.
Bilgi için 532 3078619